Андростерома — редкая опухоль надпочечников, вызывающая избыточную выработку андрогенов, мужских половых гормонов. Она может проявляться изменениями внешности, нарушениями менструального цикла у женщин и другими гормональными дисбалансами. Понимание причин, симптомов, диагностики и лечения андростеромы важно для своевременного выявления и эффективного управления заболеванием, что улучшает качество жизни пациентов.
Какими бывают андростеромы
Андростерома — это опухоль, которая может быть как доброкачественной (аденома), так и злокачественной (карцинома). Определить ее характер возможно только после проведения гистологического анализа. Однако предварительно можно судить о природе новообразования по его размеру и массе. Эти параметры могут варьироваться в широких пределах — от нескольких миллиметров до 15-20 сантиметров и от нескольких граммов до 1-1,2 килограмма. Более крупные размеры (от 5 см) и большая масса обычно указывают на карциномы, которые могут давать метастазы в лимфатические узлы, расположенные рядом с почками, а также в печень и легкие. Такие опухоли могут состоять из одного крупного узла или представлять собой комбинацию нескольких узлов, объединенных в одно образование.
Малые андростеромы, как правило, являются доброкачественными. Это чаще всего одиночные опухолевые образования, имеющие круглую форму и светлый цвет, и их диаметр не превышает 5 см.
Андростерома представляет собой редкую опухоль, которая возникает в надпочечниках и приводит к избыточной продукции андрогенов — мужских половых гормонов. Эксперты подчеркивают, что данное заболевание чаще всего диагностируется у женщин в возрасте от 30 до 50 лет и может проявляться различными симптомами, включая гирсутизм, акне и нарушения менструального цикла. Важно отметить, что андростерома может быть ассоциирована с другими эндокринными расстройствами, что усложняет диагностику. В большинстве случаев опухоль является доброкачественной, однако в редких ситуациях может иметь злокачественный характер. Лечение обычно включает хирургическое удаление опухоли, что позволяет нормализовать уровень гормонов и устранить симптомы. Регулярное наблюдение и контроль за состоянием пациента являются ключевыми аспектами послеоперационного периода.

Патогенез заболевания
Увеличение андростеромы обусловлено повышенной выработкой ее тканью гормональных веществ, главным образом андрогенов из-за 1 или нескольких ферментных дефектов. Доброкачественное новообразование обычно неплотное, мягкой консистенции, заключенное в оболочку из соединительной ткани. Морфологически состоит из темных клеток, но сходных по строению с клетками, образующими сетчатую прослойку коры надпочечников. Они обычных размеров, компактные, с пузыревидными ядрами.
Клетки, образующие злокачественное новообразование, отличаются выраженным полиморфизмом, инфильтративным ростом, атипичностью, склонностью к некрозу. Андростерома и в этом случае обладает капсулой, но внутреннее содержимое у нее кистозно-измененное, красно-коричневого цвета, со множественными очагами некроза и мелких кровоизлияний.
| Аспект | Описание | Значение для андростеромы |
|---|---|---|
| Определение | Андростерома — это редкая опухоль надпочечников, которая производит избыточное количество мужских половых гормонов (андрогенов). | Является причиной гормонального дисбаланса, приводящего к характерным симптомам. |
| Причины | Точные причины неизвестны, но предполагается связь с генетическими мутациями и нарушениями регуляции роста клеток надпочечников. | Понимание причин помогает в исследовании и, возможно, в разработке профилактических мер. |
| Симптомы | У женщин: вирилизация (огрубение голоса, рост волос по мужскому типу, увеличение клитора), нарушения менструального цикла, акне. У мужчин: обычно бессимптомно, иногда преждевременное половое созревание у мальчиков. | Симптомы являются ключевым фактором для ранней диагностики и обращения к врачу. |
| Диагностика | Включает анализ крови на уровень андрогенов (тестостерон, ДГЭА-С), КТ или МРТ надпочечников для выявления опухоли, иногда биопсия. | Точная диагностика необходима для подтверждения диагноза и определения тактики лечения. |
| Лечение | Основной метод — хирургическое удаление опухоли (адреналэктомия). В некоторых случаях может потребоваться гормональная терапия. | Хирургическое вмешательство является наиболее эффективным способом устранения источника избыточного производства гормонов. |
| Прогноз | При своевременном удалении опухоли прогноз обычно благоприятный. Однако требуется регулярное наблюдение для исключения рецидивов. | Раннее выявление и лечение значительно улучшают исход заболевания. |
| Осложнения | Нелеченная андростерома может привести к серьезным гормональным нарушениям, сердечно-сосудистым проблемам и другим осложнениям. | Подчеркивает важность своевременной диагностики и лечения для предотвращения негативных последствий. |
Интересные факты
Андростерома — это редкая опухоль надпочечников, которая производит андрогены, мужские половые гормоны. Вот несколько интересных фактов об этой болезни:
-
Гормональный дисбаланс: Андростерома может вызывать значительные гормональные изменения в организме, что приводит к различным симптомам, таким как гирсутизм (избыточный рост волос у женщин), акне и изменения в менструальном цикле. У мужчин может наблюдаться увеличение половых органов и другие признаки избыточного уровня андрогенов.
-
Редкость заболевания: Андростерома является довольно редкой опухолью, и ее встречаемость составляет менее 1% всех опухолей надпочечников. Чаще всего она диагностируется у женщин в возрасте от 30 до 50 лет, но может возникать и у мужчин и детей.
-
Диагностика и лечение: Для диагностики андростеромы используются различные методы, включая анализы крови на уровень андрогенов, визуализирующие исследования (УЗИ, КТ или МРТ) и биопсию. Лечение обычно включает хирургическое удаление опухоли, что может привести к нормализации гормонального фона и улучшению состояния пациента.

Причины андростеромы
Андростерома формируется и прогрессирует в результате избыточной продукции андрогенов. Точные причины этого явления пока не установлены. Однако многие эксперты согласны с тем, что следующие факторы могут способствовать развитию данной опухоли:
- длительное использование оральных контрацептивов;
- неблагоприятная наследственность;
- высокий уровень холестерина;
- поликистоз яичников;
- диабет;
- дефицит калия;
- гиперплазия коры надпочечников;
- курение.
Избыточная выработка андрогенных гормонов опухолью может вызывать раннее половое созревание у детей, у которых она развивается, а также приводит к маскулинизации женщин в зрелом возрасте.
Симптомы заболевания
Так как андростерома появляется из-за излишней секреции андрогенов, то есть мужских половых гормонов, то ее основным симптомом у детей является ранее развитие вторичных половых признаков:
- У девочек это раннее появление волос на лобке и других частях тела, там, где они появляются у мужчин, огрубение голоса, увеличение массы мышц и клитора. У них отсутствуют месячные, и не происходит нормального, характерного для возраста, увеличения молочных желез.
- У мальчиков оно выражается в усиленном оволосении лобковой области и подмышек, непропорциональном росте пениса относительно яичек, нарастании мышечных волокон, раннем огрубении голоса.
Формирование же самих желез половой секреции, яичников и яичек, у детей наступает соответственно возрасту. Дети с этой патологией стремительно растут, но одновременно с этим для них характерно слишком ранее закрытие зон роста костей, потому им присуща низкорослость. В то же самое время масса тела у таких детей остается довольно низкой.
У женщин детородного возраста появление андростеромы выражается в:
- энергичном росте на лице (усы и борода) и груди волос, а также на поверхности других зон тела;
- поредении волосяного покрова на голове;
- урежении месячных или же их отсутствии;
- атрофии грудных желез;
- повышении объема мышц в сочетании с жировой прослойкой;
- увеличении клитора.
В самом начале опухолевого процесса у женщин за счет повышения уровня тестостерона увеличивается работоспособность и половое влечение, они чувствуют прилив физических сил. Но затем такое состояние сходит на нет, и его сменяет депрессия, постоянная усталость, нервное истощение, ощущение разбитости и слабости. Если новообразование становится крупным, оно сдавливает нервные окончания, в результате чего женщины испытывают боль и дискомфорт.
У мужчин симптомы вирилизации проявляются не так явно, поэтому у них данные опухоли преимущественно обнаруживаются случайно, в процессе обследования относительно иных заболеваний. На начальных этапах своего роста андростеромы у представителей сильного пола никак себя не проявляют, вследствие чего состояние здоровья пораженных ими мужчин не изменяется. Вообще, уровень вирилизации у больных обоих полов способен сильно отличаться, на что влияет степень активности андростеромы, вырабатывающей гормоны, и длительность ее развития.

Диагностика андростеромы
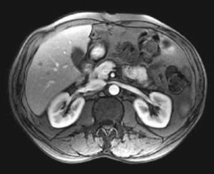
Фото МРТ надпочечников
Андростерому можно диагностировать, основываясь на клинических проявлениях, а также на результатах лабораторных и инструментальных исследований. Эти методы не только подтверждают предварительный диагноз, но и помогают отличить заболевание от других патологий, которые также могут вызывать вирилизацию. Для этого применяются следующие методы:
- МРТ. Данный метод сканирования позволяет определить точные размеры и расположение опухоли.
- РКТ. Этот способ визуализации помогает четко увидеть андростерому, чаще всего опухоли обнаруживаются в одном из надпочечников.
- Ангиография надпочечников. Эта диагностическая процедура исследует состояние кровеносных сосудов, которые питают почки, и помогает установить продолжительность патологического процесса.
- Анализы крови и мочи. Они позволяют определить уровень андрогенных веществ и их производных в организме.
- Пробы с АКТГ и дексаметазоном. Если результаты этих тестов показывают, что 17-кетостероиды (метаболиты андрогенов) продолжают выделяться с суточной мочой в неизмененном виде, это указывает на наличие новообразования, которое самостоятельно, независимо от гипофиза, вырабатывает гормоны. Это помогает выявить андростерому (чаще всего затрагивающую оба надпочечника) и отличить ее от дисфункции надпочечников, двусторонней врожденной гиперплазии, а также от поражений ЦНС, вызванных опухолью гипофиза.
- Оксипельвиография. Этот рентгенологический метод применяется для различения андростеромы и врожденной опухоли яичников у девочек и женщин, также проявляющейся вирилизацией. Для достижения этой цели также проводятся гормональные исследования.
На основании полученных результатов диагностики назначается соответствующее лечение. Важно отметить, что раннее выявление андростеромы имеет критическое значение, так как большинство из них являются злокачественными. Своевременное удаление этих новообразований может сохранить здоровье и жизнь пациентов.
Лечение андростеромы
Лечение андростеромы надпочечников во всех случаях может быть только хирургическим. Для этого всегда проводится операция по удалению пораженного опухолью органа. Ее успешность зависит от стадии заболевания, а также от доброкачественности или злокачественности процесса. Если андростерома обнаружена своевременно, на начальных фазах своего развития, то прогноз заболевания обычно благоприятный. Если же она злокачественной природы и выявлена поздно, уже дала метастазы в другие органы, то ее не удаляют, а ограничиваются лишь лечением симптоматики с применением лучевой и химиотерапии, а также обезболивающих медикаментов для купирования сильных болевых ощущений у пациентов.
Кроме оперативного вмешательства, больше никакой терапии андростерома не требует, в том числе гормональными препаратами, поскольку второй надпочечник обычно остается целым и здоровым, не атрофируется и сберегает все свои рабочие функции. После завершения операции симптомы андростеромы исчезают очень быстро, и здоровье пациентов за короткий отрезок времени приходит в норму.
Прогноз и возможные осложнения
Прогноз при андростероме зависит от ряда факторов, включая размер опухоли, наличие метастазов и общее состояние здоровья пациента. В большинстве случаев, если андростерома была выявлена на ранних стадиях и успешно удалена, прогноз является благоприятным. Однако, если опухоль была обнаружена на более поздних стадиях или если она имеет злокачественный характер, это может значительно ухудшить прогноз.
Одним из основных осложнений, связанных с андростеромой, является гормональный дисбаланс. Избыточное производство андрогенов может привести к различным эндокринным расстройствам, включая гирсутизм (избыточный рост волос у женщин), акне, нарушения менструального цикла и даже бесплодие. У мужчин может наблюдаться увеличение полового члена и другие изменения, связанные с повышением уровня тестостерона.
Кроме того, андростерома может вызывать физические симптомы, такие как боли в области надпочечников, которые могут быть связаны с ростом опухоли или ее воздействием на окружающие ткани. В редких случаях, если опухоль становится злокачественной, возможны метастазы в другие органы, что значительно усложняет лечение и ухудшает прогноз.
Важно отметить, что регулярные медицинские осмотры и мониторинг состояния здоровья могут помочь в раннем выявлении возможных осложнений, связанных с андростеромой. Пациенты, у которых была диагностирована эта опухоль, должны находиться под наблюдением эндокринолога и, при необходимости, онколога для оценки состояния и выбора оптимальной стратегии лечения.
В заключение, хотя андростерома может иметь серьезные последствия для здоровья, ранняя диагностика и адекватное лечение могут значительно улучшить прогноз и снизить риск осложнений. Пациентам рекомендуется быть внимательными к своему состоянию и обращаться за медицинской помощью при появлении любых настораживающих симптомов.
Вопрос-ответ
Каковы симптомы андростеромы?
Симптомы андростеромы. При этом отмечается рост волос в лобковой зоне и на теле по мужскому типу, увеличение клитора, усиленное наращивание мышечной массы, снижение тембра голоса, в то время как не отмечается рост молочных желез и отсутствуют менструации.
Каковы первые признаки опухоли надпочечников?
Первые признаки опухоли надпочечников могут включать неясные симптомы, такие как усталость, необъяснимый набор веса или потерю веса, изменения в аппетите, высокое кровяное давление, а также изменения в уровне гормонов, что может проявляться в виде акне, избыточного роста волос или менструальных нарушений у женщин. Важно обратиться к врачу для диагностики при наличии подобных симптомов.
Какие симптомы опухоли надпочечников у женщин?
У женщин симптомы опухолей надпочечников такого типа: рост волос на теле и лице, понижение тембра голоса, эстрогенов — женских половых гормонов. Чаще встречается у мужчин, вызывает явления феминизации и слабость. Катехоламинов — развиваются вегетативные кризы.
Какой анализ показывает рак надпочечников?
Анализ на уровень адренокортикотропного гормона (АКТГ) применяется в диагностике заболеваний надпочечников, гипоталамо-гипофизарной системы и опухолей, связанных с избыточной продукцией этого гормона. Также целесообразно сдать анализ мочи на кортизол.
Советы
СОВЕТ №1
Если у вас есть подозрения на андростерому, не откладывайте визит к врачу. Раннее обращение к эндокринологу или онкологу поможет установить точный диагноз и начать необходимое лечение.
СОВЕТ №2
Обратите внимание на симптомы, такие как изменения в уровне энергии, изменения в весе, акне или изменения в менструальном цикле. Ведение дневника симптомов может помочь врачу в диагностике.
СОВЕТ №3
Изучите информацию о возможных методах лечения андростеромы, включая хирургическое вмешательство и гормональную терапию. Это поможет вам лучше понять процесс лечения и задать правильные вопросы врачу.
СОВЕТ №4
Поддерживайте здоровый образ жизни: сбалансированное питание и регулярные физические нагрузки могут помочь улучшить общее состояние здоровья и снизить риск осложнений, связанных с эндокринными заболеваниями.




